Invisalign in Downton Dallas
We are offering $1,500 off the total cost of Invisalign for a limited time!
Invisalign is an innovative orthodontic treatment that utilizes a series of clear, custom-made aligners to straighten teeth without the need for traditional metal wires and brackets. East Quarter Dental provides this discreet treatment at our Downtown Dallas office, helping patients correct gaps, misalignment, and bite issues with maximum comfort. Whether you are a working professional in Uptown or a student in University Park, our team offers a seamless path to a confident smile.
The Invisalign Process: Step-by-Step
Your journey to a straighter smile follows a precise, digital-first workflow designed for predictability. At East Quarter Dental, we guide you through four key stages:
- Initial Consultation: We evaluate your dental health goals to determine if clear aligners are the right fit for your specific needs.
- Digital Scanning: Using advanced 3D imaging technology, we capture a precise model of your teeth—no messy impressions required.
- Custom Fabrication: A specialized lab creates your series of aligners based on our exact treatment plan.
- Active Treatment: You’ll wear your custom aligners for 20 to 22 hours daily, changing to a new set approximately every one to two weeks to progressively move your teeth into the desired position.
Why Patients Choose Invisalign Over Braces
Clear aligners offer significant lifestyle advantages compared to traditional metal orthodontics. Key benefits include:
- Discretion: The clear trays are virtually invisible, allowing you to smile confidently in social and professional settings.
- Hygiene: Because the aligners are removable, you can brush and floss normally, reducing the risk of plaque buildup and tooth decay.
- Comfort: Smooth plastic construction eliminates the irritation often caused by broken brackets or poking wires.
- Dietary Freedom: You can eat whatever you like—simply remove your trays before meals.
Invisalign for Teens in Dallas
Invisalign Teen is a specialized version of the treatment designed specifically for the active lives of teenagers. East Quarter Dental recommends this option for teens in Lake Highlands and surrounding areas who play sports or play musical instruments. Unlike metal braces, which can cause injury during contact sports, smooth aligners are safe and comfortable. Plus, fewer required office visits mean less time away from school and extracurricular activities.
Cost of Invisalign in Dallas
The cost of Invisalign at our Downtown Dallas office typically ranges from $4,500 to $6,000. This price varies based on the complexity of your alignment issues and the length of treatment. We believe in transparent pricing and offer financing options through CareCredit to make your dream smile accessible without upfront financial stress.
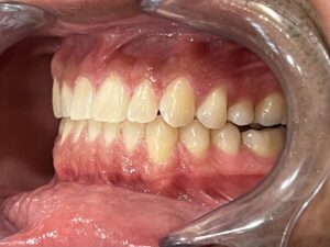
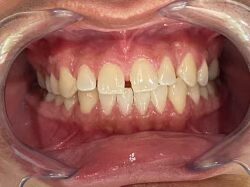
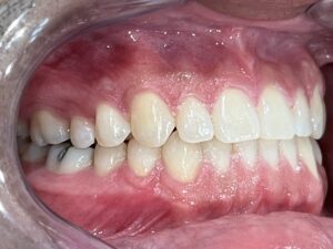
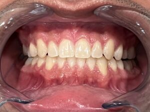
Invisalign BEFORE and AFTER

Invisalign before

Invisalign before

Invisalign after

Invisalign After
Frequently Asked Questions
How long does Invisalign treatment take?
Treatment time varies by patient but generally lasts between 12 and 18 months. Mild cases may be resolved in as little as six months, while more complex corrections can take up to two years. Consistency is key—wearing your aligners for the recommended 22 hours a day ensures the fastest results.
Is the treatment painful?
Invisalign is generally much more comfortable than metal braces. You may experience mild pressure for a few days after switching to a new set of aligners, but this is a positive sign that your teeth are moving correctly.
Will aligners affect my speech?
Minor speech changes, such as a slight lisp, can occur during the first few days of treatment. However, the tongue adapts quickly, and most patients speak normally within a week.
Schedule Your Consultation Today
Your dream smile is closer than you think. East Quarter Dental is proud to serve Downtown Dallas, Highland Park, Oak Lawn, and the surrounding communities. Get in touch with us now to book your consultation online and find out if Invisalign suits your dental needs.
